Bệnh Lậu
Tổng Hợp Hình Ảnh Bệnh Lậu Ở Nam Và Nữ Theo Từng Giai Đoạn (2026)
Nội dung bài viết
- 1 Hình ảnh bệnh lậu như thế nào là điển hình?
- 2 1. Hình ảnh bệnh lậu ở nam giới qua các giai đoạn
- 3 2. Hình ảnh bệnh lậu ở nữ giới (Kín đáo và Nguy hiểm)
- 4 3. Hình ảnh bệnh lậu tại các vị trí khác
- 5 4. Bảng phân biệt: Hình ảnh bệnh lậu vs. Các bệnh xã hội khác
- 6 5. Câu hỏi thường gặp về hình ảnh bệnh lậu
Thông tin kiểm duyệt: Nội dung được biên soạn và thẩm định bởi Ban Biên Tập Đa Khoa Gia Phước (Đội ngũ bác sĩ chuyên khoa Nam học hơn 30 năm kinh nghiệm). Chúng tôi cam kết cung cấp kiến thức chuẩn xác, giúp phái mạnh Miền Tây tháo gỡ lo lắng một cách kín đáo và an toàn.
Hình ảnh bệnh lậu ở nam và nữ qua từng giai đoạn là căn cứ quan trọng giúp người bệnh nhận biết sớm tình trạng sức khỏe của mình. Bệnh lậu có tốc độ lây lan cực nhanh và để lại biến chứng nguy hiểm nếu không điều trị kịp thời. Tại Phòng Khám Đa Khoa Gia Phước, các bác sĩ chuyên khoa đã tổng hợp bộ hình ảnh thực tế và các dấu hiệu điển hình nhất để bạn có cái nhìn trực quan nhất.
Hình ảnh bệnh lậu như thế nào là điển hình?
Hình ảnh bệnh lậu điển hình nhất ở nam giới là tình trạng lỗ sáo chảy mủ (màu vàng, xanh hoặc trắng đục) kèm theo sưng đỏ. Ở nữ giới, hình ảnh thường thấy là khí hư ra nhiều, có mùi hôi và cổ tử cung bị viêm loét. Đặc biệt, dấu hiệu “giọt mủ buổi sáng” ở nam giới là hình ảnh đặc trưng nhất để chẩn đoán lâm sàng bệnh lậu cấp tính.
1. Hình ảnh bệnh lậu ở nam giới qua các giai đoạn
Nam giới là đối tượng dễ nhận biết bệnh lậu nhất thông qua các biểu hiện tại cơ quan sinh dục.
Giai đoạn cấp tính (dấu hiệu giọt mủ buổi sáng)

Trong 2-7 ngày đầu, hình ảnh thực tế cho thấy lỗ sáo sưng đỏ, xuất hiện dịch mủ đặc màu vàng hoặc xanh chảy ra. Đặc biệt, hình ảnh “giọt mủ buổi sáng” đọng lại ở đầu dương vật là dấu hiệu nhận biết lậu cấp tính chính xác đến 90%.
Giai đoạn mãn tính (Sau 15 ngày không điều trị)

Nếu không điều trị, mủ sẽ chảy ít hơn nhưng vi khuẩn tấn công sâu vào bên trong. Hình ảnh lúc này có thể thấy vùng bìu sưng to, đỏ rực và cảm giác đau nhức lan sang vùng bẹn. Đây là dấu hiệu của viêm tinh hoàn hoặc viêm túi tinh.
2. Hình ảnh bệnh lậu ở nữ giới (Kín đáo và Nguy hiểm)
Khác với nam giới, 80% nữ giới không có triệu chứng rõ ràng, hình ảnh thường bị nhầm lẫn với viêm nhiễm phụ khoa thông thường:
Triệu chứng ở nữ thường kín đáo hơn, dễ nhầm lẫn với viêm nhiễm phụ khoa thông thường.
Giai đoạn phát tác sớm (Viêm âm đạo, âm hộ)

Hình ảnh vùng kín nữ giới bị bệnh lậu thường thấy là niêm mạc âm đạo xung huyết, sưng tấy. Khí hư ra nhiều bất thường, có màu trắng đục hoặc vàng xanh kèm mùi hôi nồng nặc.
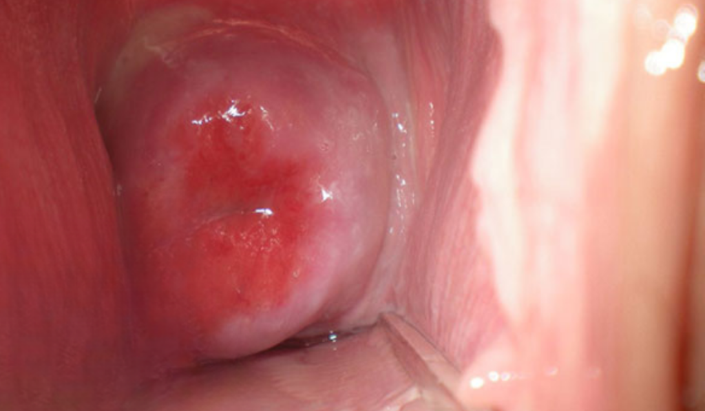
Giai đoạn viêm nhiễm nặng (Tổn thương cổ tử cung)

Khi nội soi, hình ảnh cổ tử cung sẽ hiện rõ tình trạng phù nề, viêm loét và có mủ chảy ra từ tử cung. Đây là giai đoạn nguy hiểm dễ dẫn đến viêm vùng chậu và vô sinh ở nữ giới.
3. Hình ảnh bệnh lậu tại các vị trí khác
Bệnh lậu không chỉ khu trú ở vùng kín mà còn xuất hiện ở nhiều vị trí khác do quan hệ bằng miệng hoặc dùng chung đồ cá nhân.
Hình ảnh bệnh lậu ở miệng và họng

Rất dễ nhầm với viêm họng. Tuy nhiên, hình ảnh bệnh lậu ở miệng sẽ có những mảng trắng/vàng bám chặt vào amidan và vòm họng, kèm theo tình trạng sưng hạch cổ rõ rệt.
Hình ảnh bệnh lậu ở mắt

Thường gặp ở trẻ sơ sinh hoặc người lớn vô tình để dịch mủ dính vào mắt. Hình ảnh điển hình là mắt sưng húp, không thể mở mắt, kết mạc đỏ rực và chảy dịch mủ liên tục.
Hình ảnh bệnh lậu ở hậu môn và trực tràng
Phổ biến ở nhóm quan hệ đồng giới nam (MSM). Hình ảnh cho thấy vùng hậu môn bị sưng đỏ, chảy dịch nhầy hôi và có thể xuất hiện các vết loét nhỏ xung quanh lỗ hậu môn.

4. Bảng phân biệt: Hình ảnh bệnh lậu vs. Các bệnh xã hội khác
| Tiêu chí | Bệnh Lậu | Sùi Mào Gà | Mụn Rộp Sinh Dục |
| Hình ảnh đặc trưng | Chảy mủ đặc (xanh/vàng) | Mọc các nốt sùi như mào gà | Mọc các mụn nước li ti |
| Cảm giác tại chỗ | Đau buốt khi đi tiểu | Thường không đau, không ngứa | Đau rát, ngứa ngáy dữ dội |
| Vị trí xuất hiện | Niệu đạo, âm đạo, họng | Cơ quan sinh dục, hậu môn | Niêm mạc vùng kín, môi |
- Tiêu diệt tận gốc: Phá hủy cấu trúc gen của song cầu khuẩn lậu.
- Không xâm lấn: Điều trị không gây đau đớn, không để lại sẹo.
- Phục hồi nhanh: Tăng cường hệ miễn dịch, ngăn ngừa bệnh tái phát.
>>Xem Thêm: Địa Chỉ Điều Trị Lậu Tại Cần Thơ Uy Tín
5. Câu hỏi thường gặp về hình ảnh bệnh lậu
Hỏi: Hình ảnh bệnh lậu có tự hết nếu không điều trị không?
Trả lời: Không. Bệnh lậu sẽ chuyển từ giai đoạn cấp tính sang mãn tính. Dù mủ có thể chảy ít đi nhưng vi khuẩn vẫn đang âm thầm phá hủy hệ sinh sản.
Hỏi: Tôi có thể chẩn đoán bệnh chỉ qua hình ảnh không?
Trả lời: Hình ảnh chỉ mang tính chất tham khảo (độ chính xác khoảng 70-80%). Bạn cần thực hiện xét nghiệm dịch niệu đạo hoặc xét nghiệm nước tiểu để có kết quả chính xác 100%.
Lời kết: Nhận biết sớm qua hình ảnh bệnh lậu là chìa khóa để bảo vệ sức khỏe sinh sản. Đừng vì e ngại mà chậm trễ điều trị. Hãy liên hệ ngay với chuyên gia tại Đa Khoa Gia Phước để được tư vấn bảo mật và miễn phí.
Tài liệu “Hướng dẫn chẩn đoán và điều trị các bệnh lây truyền qua đường tình dục” (Quyết định 4568/QĐ-BYT năm 2013) của Bộ Y tế.
Mọi thắc mắc hay cần tư vấn khám chữa bệnh, đặt lịch, người dân có thể liên hệ đến Phòng Khám Đa khoa Gia Phước theo số điện thoại 0966.332.352.
Địa chỉ phòng khám đa khoa Gia Phước: 57 Hùng Vương, p. Ninh Kiều, tp. Cần Thơ.
Tư vấn – Đặt hẹn: 0966332352 (Có: Zalo, Viber, Line)
Email: [email protected]
Phản ánh thái độ phục vụ: 02923813868
Thời gian làm việc: 7h30 đến 20h00 (kể cả thứ 7, chủ nhật & ngày lễ)

